
Programează-ți prima consultație astăzi și începe-ți călătoria către un zâmbet sănătos și fără durere. Contactează-ne acum!
O dilemă frecventă a pacienților care ajung la medicul specialist chirurg dento-alveolar, dar și a stomatologilor generaliști este legată de retracțiile (recesiunile) gingivale. Sunt ele sau nu boală parodontală?
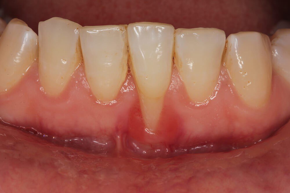
Retracție gingiei înseamnă coborârea (retragerea) gingiei spre vârful rădăcinii, cu expunerea acesteia. Este întotdeauna însoțită de absența osului de pe suprafața respectivă a rădăcinii dintelui. De aici încep și diferențele între recesiunile asociate bolii parodontale și cele de cauză neinflamatorie.
Retracția gingivală sau recesiunea gingivală apare în urma afectării structurilor parodontale ce susțin dintele. Parodonțiul marginal este alcătuit din parodonțiu de înveliș, superficial (gingia) și parodonțiul profund, de susținere.
Sunt două tipuri de gingie:
– gingia fixă: o bandă de 2-3 mm de țesut gingival de culoare roz deschis, atașată de dinte și de osul alveolar subiacent.
– gingia mobilă: o mucoasă neatașată, densă, fină, elastică ce se află în continuarea gingiei fixe.
Parodonțiul de susținere este alcătuit din cement, desmodonțiu și os alveolar.
Recesiunea gingivală din boala parodontală este de cauză inflamatorie, aceasta producând resorbția osului și, consecutiv, migrarea gingiei către vârful rădăcinii. Spre deosebire de acesta, pot exista și recesiuni fără inflamație. Acestea pot apărea, de exemplu, atunci când un dinte nu este aliniat cu ceilalți, fiind împins fie spre obraz sau spre limbă și scos, astfel, din conturul osos normal.
Prin urmare, acolo unde dintele nu va fi acoperit de os, acolo nu va exista nici gingie, rezultând astfel recesiunile neinflamatorii pot apărea la dinții lângă care există o lipsă dentară ca urmare a unei extracții, pe dinți pe care există obturații (plombe) incorect realizate la nivelul gingiei, dinți pe care există lucrări protetice incorect adaptate, deși, în ultimele două cazuri, limita dintre recesiune inflamatorie/neinflamatorie este destul de neclară.
Sunt recesiunile periculoase pentru dinți? Da, de la un punct încolo, când pierderea osoasă și inflamația duc la pierderea stabilității dintelui. Spre deosebire de alte tipuri de boli ale gingiilor care pot fi greu de diagnosticat din cauza lipsei de durere si a simptomelor vizibile de la început, retracția gingiilor este destul de ușor de observat la examinarea vizuală. Pe măsura ce gingiile încep să se retragă, poți vedea o schimbare fizică a dinților și o mărire a suprafeței lor.
De asemeni, recesiunile pot determina sensibilitate majoră la rece/cald, dulce sau chiar atingere. Aici depinde mult de pragul de sensibilitate a fiecărui pacient și, puțin, de noroc. Hipersensibilitatea dentară poate duce, în unele cazuri la moartea pulpei dentare, de exemplu.
Până în acel punct, totuși, nu putem afirma că retracția gingivală e mai mult decât o problemă de estetică și că tratamentul ei este unul electiv, depinzând de cât de mult își dorește pacientul rezolvarea acestei probleme.
La UnidentArt, centru stomatologic specializat în parodontologie și chirurgie orală, oferim tratamente personalizate și eficiente pentru pacienții care se confruntă cu recesiune gingivală – o afecțiune ce presupune retragerea gingiei și expunerea rădăcinii dentare, cu impact asupra sănătății și aspectului zâmbetului.
Pasul 1: Eliminarea cauzelor și educația pacientului
Tratamentul începe cu identificarea și înlăturarea tuturor factorilor care au dus la apariția retracției gingivale:
🔹 Igienizare profesională și controlul tartrului
🔹 Îndepărtarea lucrărilor dentare incorect adaptate, care irită gingia
🔹 Realinierea dinților malpoziționați prin tratament ortodontic, dacă este cazul
🔹 Reeducarea tehnicii de periaj – învățăm pacientul să folosească o periuță moale, cu mișcări verticale, dinspre gingie spre dinte (de la roz spre alb), evitând periajul orizontal agresiv
Prin aceste măsuri, ne asigurăm că problema nu evoluează și că tratamentul ulterior are cele mai mari șanse de succes.
Pasul 2: Intervenții chirurgicale moderne și minim-invazive
Pentru cazurile unde retracția este avansată sau afectează estetica zâmbetului, specialiștii noștri în chirurgie dentară și parodontologie aplică metode de corecție gingivală moderne, adaptate fiecărui pacient.
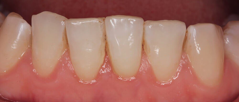
🔹 Grefare de țesut conjunctiv – recoltăm țesut gingival din zone bogate (de obicei de pe cerul gurii) și îl aplicăm în zona afectată pentru a reface conturul gingiei
🔹 Tehnici cu lambou – mutăm gingia spre coroana dintelui pentru acoperirea rădăcinii expuse
🔹 Tunelare minim-invazivă – fără incizii mari sau suturi, cu recuperare rapidă și disconfort minim
🔹 PRF (plasmă îmbogățită din sângele propriu) – accelerează vindecarea naturală, stimulează regenerarea țesuturilor și reduce riscul de complicații
🔹 Materiale bioactive și tehnologii avansate – pentru rezultate stabile și un zâmbet natural
Fiecare intervenție este gândită individual, în funcție de localizarea recesiunii, grosimea și calitatea țesutului gingival, dar și de așteptările estetice ale pacientului.
La UnidentArt, tratamentul nu se încheie în cabinet
Pacienții noștri beneficiază de monitorizare atentă și ghidaj post-tratament. Punem accent pe prevenție și comportamente conservatoare, pentru ca rezultatele să fie durabile:
✔ Periaj corect, de 2-3 ori pe zi, maximum 3-5 minute/sesiune
✔ Evitarea substanțelor agresive aplicate direct pe gingii ( frecatul gingiei cu lămâie, cu alte substanțe astringente sau periajul cu sare, trebuie evitate deoarece reduc în volum o gingie deja retrasă)
✔ Control periodic la medicul parodontolog
Alege UnidentArt pentru tratamentul recesiunii gingivale
Experiența, precizia chirurgicală și empatia față de pacient sunt valorile care ne definesc. La UnidentArt, nu tratăm doar simptomele, ci cauzele, oferind soluții complete pentru sănătatea și estetica zâmbetului tău.
Retracția gingivală este o problemă des întâlnită și are un impact crescut asupra funcționalității și fizionomiei unui pacient. Este recomandat un consult de specialitate în vederea tratării și evitarea unor practici neconvenționale.
Recesiunea gingivală este coborârea marginii gingivale spre rădăcina dintelui, expunând suprafața radiculară. Poate fi cauzată de inflamație (parodontită), traume sau alți factori și este adesea însoțită de pierdere osoasă.
Recesiunea inflamatorie apare pe fondul unor boli parodontale, cum ar fi parodontita, și este însoțită de distrugerea țesutului osos. Recesiunea neinflamatorie se dezvoltă fără inflamație, adesea din cauza unor factori mecanici, cum ar fi periajul necorespunzătoare al dinților sau a unor caracteristici anatomice.
Aceasta este o procedură chirurgicală în care o bucată de țesut (de obicei din palatul gurii) este grefată în zona de recesiune pentru a restabili conturul normal al gingiei și a proteja rădăcina dintelui.
PRF (plasmă bogată în factori de creștere) este o metodă care utilizează propriul sânge al pacientului pentru a accelera vindecarea și a stimula regenerarea țesuturilor după operație.
Recesiunea poate duce la sensibilitate dentară, carii radiculare, un zâmbet inestetic și, în cele din urmă, pierderea dinților. Tratamentul timpuriu ajută la menținerea sănătății și aspectului dinților.
Luni – Vineri 09:00-18:00
Sâmbătă 09:00–12:00 (doar cazuri urgente)
Duminica nu este zi lucrătoare
UniDentArt © 2024 Toate drepturile rezervate.